Reendodontické ošetrenie - čo to znamená, ako a kedy sa vykonáva?
V Oradente pomáhame aj pacientom, ktorí sú odoslaní svojim ošetrujúcim zubným lekárom v prípadoch, kedy je potrebné vykonať opakované ošetrenie koreňového kanálika, odborne nazývané reendodontické ošetrenie.
Podstatou reendodoncie je detailné odstránenie celej starej, nevyhovujúcej výplne, preliečenie zápalu (eliminácia baktérii) a zhotovenie novej plne funkčnej koreňovej výplne.
Kedy je potrebné reendodontické ošetrenie?
Reendodotické ošetrenie je výkon, ktorý je indikovaný pri zlyhaní prvotného endodontického ošetrenia. Najčastejšou príčinou zlyhania je nedostatočné odstránenie baktérii z koreňového systému a nedostatočne zaplnený koreňový kanálik v celej jeho dĺžke a šírke. Inou z príčin môže byť zložitá anatómia koreňového systému a s ňou súvisiace komplikácie ako zalomenie koreňového nástroja alebo prehliadnutie nadpočetného kanáliku. Odhaliť štruktúry o veľkosti niekoľko stotín milimetrov voľným okom je takmer nemožné. A práve nájdenie a následné ošetrenie nadpočetného kanáliku môže byť kľúčom k úspechu, pretože nesprávne endodonticky ošetrené zuby sú ideálnym prostredím pre množenie baktérii. V oblasti koreňa tak vzniká cysta alebo neohraničený zápal, šíriaci sa do celého tela. V Oradente si vďaka odbornému tímu, najmodernejším technológiám, 3D röntgenu a operačnému mikroskopu vieme úspešne poradiť aj s týmito komplikáciami.
Ako prebieha reendodontické ošetrenie?
Reendodontické ošetrene je časovo a nástrojovo náročnejšie než endodontické ošetrenie. Postup je podobný ako pri primárnom endodntickom ošetrení, rozdiel je v tom, že pri reendodoncii odstraňujeme pôvodnú koreňovú výplň, nájdeme a opracujeme všetky koreňové kanáliky a odstránime chyby predchádzajúceho ošetrenia (nepravidelnosti v priebehu kanálika, zalomené koreňové nástroje...). Nasleduje dezinfekcia a zaplnenie všetkých koreňových kanálikov a hermetická dostavba zuba.

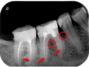
Nedostatočne zaplnené koreňové kanáliky (červené šípky), kostný defekt vplyvom zápalu (červené krúžky)
Úspešne vykonaná reendodoncia, odstránenie starej nevyhovujúcej koreňovej výplne, opätovné zaplnenie koreňových kanálikov a výplň korunkovej časti zuba.